Mới nhất
Mới nhất
Chính trị
Xây dựng Đảng
Theo gương Bác
Chính quyền - đoàn thể
Nhà nước và cử tri
Nhân sự mới
Xã hội
Giáo dục - Việc làm
Y tế
Giảm nghèo - An sinh
Thanh thiếu niên
Kinh tế
Quy hoạch - Đầu tư
Khởi nghiệp - OCOP
Công nghiệp
Tài chính - Thị trường
Nông nghiệp - Nông thôn
Nông nghiệp
Thủy sản
Lâm nghiệp
Nông thôn mới
Du lịch
Ẩm thực
Điểm đến
Sự kiện
Cơ hội đầu tư
Địa chỉ đầu tư
Doanh nghiệp - Doanh nhân
Cơ chế chính sách
Sự kiện bình luận
Chuyện đầu tuần
Góc suy ngẫm
Sổ tay phóng viên
Đời sống
Môi trường
Sống khỏe
Địa chỉ từ thiện
Cuộc sống thường ngày
Văn hóa - Văn nghệ
Thơ
Truyện ngắn
Tác phẩm, tác giả
Tạp văn
Văn hóa
Thể thao
Thế giới
Khoa học - Công nghệ
Công nghệ
Theo bước chân người Quảng
Hồ sơ - Tư liệu
Người xứ Quảng
Quốc phòng - An ninh
Tòa soạn & bạn đọc
Thông tin doanh nghiệp
Quảng cáo - Rao vặt
Truyền hình
Podcast
Quốc phòng - An ninh
Tòa soạn & bạn đọc
Thông tin doanh nghiệp
Quảng cáo - Rao vặt
Truyền hình
Podcast
vỡ mạch máu não
Tin tức cập nhật liên quan đến vỡ mạch máu não
Hỗ trợ gần 50 triệu đồng cho học sinh xã Tiên Phước bị vỡ mạch máu não
ĐNO - Sáng 11/7, đại diện nhà hảo tâm cùng chính quyền, Mặt trận xã Tiên Phước đến Bệnh viện Đà Nẵng thăm hỏi và trao hỗ trợ 49,6 triệu đồng cho bệnh nhân Võ Thị Thanh Thúy (SN 2009, thôn Địch An, xã Tiên Phước).
Địa chỉ từ thiện
Không chủ quan với cơn đau đầu nhẹ thoáng qua
07/05/2024 17:31
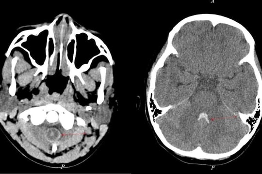
(QNO) - Ngày 4/5, Bệnh viện Đa khoa Gia Đình Đà Nẵng tiếp nhận bệnh nhân Đ.N. (10 tuổi) trong tình trạng tím tái, mất ý thức, ngưng thở.
POWERED BY
ONE
CMS
- A PRODUCT OF
NEKO
×
Đăng nhập
Tạo tài khoản
Đăng nhập với email
Đăng nhập
Lấy lại mật khẩu
Đăng nhập với
Facebook
Google
Apple
Tạo tài khoản
Để sử dụng đầy đủ tính năng đọc báo và tham gia cộng đồng hơn 4 triệu thành viên
Tạo tài khoản
Đăng nhập với
Facebook
Google
Apple
Khi bấm tạo tài khoản bạn đã đồng ý với
quy định
của tòa soạn